インプラント専門医
マウスピース矯正認定ドクター
-
-
年間401症例以上の治療実績
2025年ブラックダイヤモンドプロバイダー
日本でも稀な、「補綴・歯列矯正」両分野における
スペシャリストがお口の悩みを解決します。
\n\n
日本でも稀な、「補綴・歯列矯正」両分野における
スペシャリストがお口の悩みを解決します。
ITIとは ITIをご存知でしょうか ITIとはThe International Team for Implantologyの略で、世界中のインプラント歯学ならびに関連組織再生の専門家同士を結ぶユニークなネットワークであり、世界最大のイン […][...]
本文を読むこんにちは 今回は無歯顎患者(歯がない方)に対するインプラント治療のひとつとして挙げられるAll-on-4(オールオン4)についてお話しさせていただきます 無歯顎患者に対してのインプラント治療としては、固定性(取り外しできない)の治療と可撤 […][...]
本文を読む今回はサージカルテンプレートを使用するインプラント手術について説明します サージカルテンプレートとは 「インプラント体埋入手術に使用するインプラント体の埋入位置・方向などを設定したプレートのこと. CT データを基に模型上あるいはコンピュー […][...]
本文を読む審美部位における高度治療で自然で美しい前歯を回復 抜歯即時インプラント・即時荷重は「抜歯と同日にインプラントを埋入」し、さらに「同日にインプラントで固定する歯まで作る」というものです。 インプラント治療するにおいて通常2-3回必要な手術も1 […][...]
本文を読むただインプラント治療をするだけが本当のゴールではない インプラント治療は、失った歯を「ただ入れ替える」だけの治療ではありません。実は、咬み合わせのバランス・歯列の位置関係・前歯の審美性・咀嚼機能・歯肉の状態など、多くの要素が複雑に関わり合っ […][...]
本文を読む私は現在、以前留学していたアメリカのコネチカット大学歯学部補綴学分野(Department of Prosthodontics)にて、客員助教授(Adjunct Assistant Professor)として研究・教育活動を続けています。今 […][...]
本文を読むはじめに 前歯は「顔の印象を決める」と言っても過言ではないほど重要な部位です。今回は、前歯を失った患者様に対し、審美性と機能性の両方を追求したインプラント治療を行った症例をご紹介します。 患者様情報 年齢:50代 性別:女性 主訴:「左上の […][...]
本文を読む先天欠如とは? 先天欠如(せんてんけつじょ)とは、生まれつき歯の本数が足りない状態を指します。通常は永久歯が28本(親知らずを含めれば32本)ありますが、遺伝的要因などにより1本〜複数本の永久歯が形成されないことがあります。 特に多いのは、 […][...]
本文を読む世界中で翻訳される口唇を美しく治すバイブル 前回の「インプラント補綴マニュアル(クインテッセンス出版)」に引き続きクインテッセンス出版から次の翻訳本を出させていただきました アメリカ留学生活も経て少しは勉強した英語を活かす仕事もさせていただ […][...]
本文を読む抜歯後の放置による悪影響 歯を抜いた後には様々な選択肢があります。ブリッジ、インプラント治療、入れ歯(義歯)、歯の移植など。その中で治療をしないという選択肢、つまり「放置」という選択肢もあります。 実際一番後ろの奥歯の場合は、状況によって放 […][...]
本文を読む歯科メディとは 「歯科メディ」とは、歯科医院の紹介と歯科治療コラムを掲載するWEBメディアです。歯科医師の方々にインタビューをし、各医院の特徴や治療の専門性を紹介しています。今回はその「歯科メディ」にインプラント治療についてのコラムを監修さ […][...]
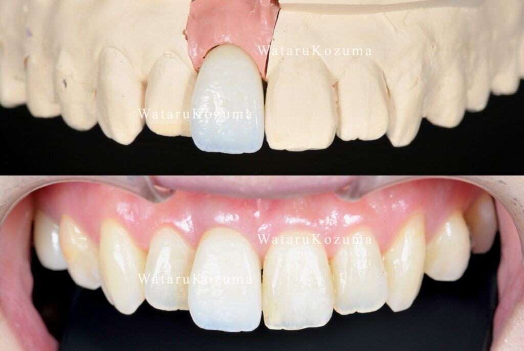
本文を読む前歯部インプラント治療 今回は上顎の前歯部インプラントとジルコニアクラウンの症例について書かせていただきます 以前もお話ししたように前歯は綺麗に仕上げるに越したことはありません ただ、綺麗に仕上げられるかどうかは綿密な計画と技術が必要です […][...]
本文を読む
facebook・Instagramのオンラインサロン「Implant 超 Basic Salon」を運営しております。
インプラントの基礎から応用まで、私たち臨床医が日々感じる「インプラントに対する疑問」をテーマにしております。
ドクター・コデンタル・アカデミックの方が参加可能で参加費は無料です。